Recenti studi hanno portato alla luce un meccanismo fino ad ora nascosto che spiega la resistenza dei tumori della testa e del collo ai farmaci. Questa scoperta potrebbe aprire nuove strade per il trattamento di queste patologie, che rappresentano una sfida importante per la comunità medica.
I tumori della testa e del collo rappresentano un gruppo eterogeneo di neoplasie che colpiscono diverse aree anatomiche, tra cui la bocca, la gola, il naso e i seni paranasali. Questi tumori possono essere causati da diversi fattori, tra cui l'abuso di alcol e tabacco, l'infezione da HPV e l'esposizione a determinate sostanze chimiche. La diagnosi precoce è fondamentale per garantire un trattamento efficace e migliorare le prospettive di sopravvivenza dei pazienti.
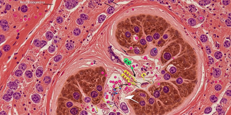
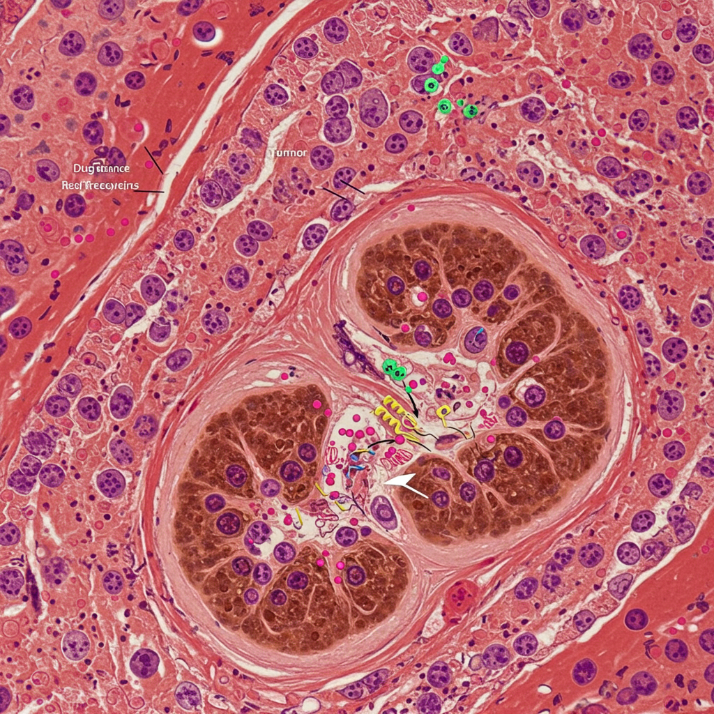
Tuttavia, uno dei principali ostacoli nel trattamento dei tumori della testa e del collo è la resistenza ai farmaci. Questa resistenza può ridurre l'efficacia delle terapie convenzionali, come la chemioterapia e la radioterapia, e rendere più difficile il controllo della malattia. Fino ad ora, i meccanismi che causano questa resistenza non erano completamente compresi, ma recenti ricerche hanno portato alla luce un nuovo aspetto di questa complessa dinamica.
Uno studio condotto da un team di ricercatori ha evidenziato che i tumori della testa e del collo possono sviluppare resistenza ai farmaci attraverso un meccanismo che coinvolge specifiche proteine presenti nelle cellule tumorali. Queste proteine agiscono come "pompe" che espellono i farmaci dalle cellule, impedendo loro di esercitare il loro effetto terapeutico. Questo meccanismo, noto come efflusso attivo dei farmaci, è stato identificato come uno dei principali responsabili della resistenza ai trattamenti convenzionali.
La scoperta di questo meccanismo "nascosto" apre la strada a nuove strategie terapeutiche per contrastare la resistenza dei tumori della testa e del collo ai farmaci. Gli studiosi stanno attualmente lavorando per sviluppare nuove molecole in grado di bloccare l'attività di queste proteine e impedire loro di espellere i farmaci. Questo approccio potrebbe migliorare l'efficacia delle terapie esistenti e offrire nuove opzioni di trattamento per i pazienti affetti da queste forme tumorali.
Inoltre, la scoperta di questo meccanismo sottolinea l'importanza della ricerca scientifica nel campo dell'oncologia. Comprendere i meccanismi che guidano la resistenza dei tumori ai farmaci è fondamentale per sviluppare terapie sempre più mirate ed efficaci. Lavorando insieme, medici e ricercatori possono contribuire a migliorare le prospettive di cura per i pazienti affetti da tumori della testa e del collo.
In conclusione, la scoperta di questo meccanismo "nascosto" di resistenza ai farmaci nei tumori della testa e del collo rappresenta un importante passo avanti nella lotta contro queste patologie. Grazie a questa nuova conoscenza, la comunità scientifica è più vicina a trovare soluzioni efficaci per contrastare la resistenza e migliorare le prospettive di cura per i pazienti. Sono necessarie ulteriori ricerche per tradurre queste scoperte in nuove terapie innovative, ma i risultati finora ottenuti sono promettenti e offrono speranza per il futuro.












































